Sechenov Universkill

ПАТАЛОГИЧЕСКАЯ АНАТОМИЯ - ГЕПАТИТ B

Этиология и патогенез:

Вирус гепатита B- ДНК-содержащий вирус
(частица Дейна), включающий три антигенные детерминанты:
-Поверхностный антиген (HBsAg);
-Сердцевидный антиген (HBcAg), с которым связывают патогенность вируса;
- HBeAg, который расценивают как маркер ДНК- полимеразы.

Антигены вируса В выявляют в тканях гистологическим (окраска аль­дегидфуксином, орсеином) или иммуногистохимическим (использование антисывороток к HBsAg, HBcAg, HBeAg) методами. Патогенетическая особенность взаимодействия вируса с хозяином обусловлена его способностью встраивать собственную ДНК в геном гепатоцита - молекулярио-генетическая основа развития цирроза и первично­го рака печени.

При попадании HBV в организм развивается первичная виремия (циркуляция вируса в крови). Вирус накапливается в лимфоидной ткани, купферовских клетках печени, половых клетках, костном мозге.
Развивается первичный иммунный ответ. В случае адекватной его выраженности наблюдается элиминация вируса, у больного развивается безжелтушная форма гепатита В (в 70%). При недостаточности иммунного ответа развивается вторичная генерализация процесса. Реализуется тропизм вируса к гепатоцитам с проникновением в клетку. Фрагмент ДНК вируса встраивается в геном гепатоцита и клетки иммунной системы быстро их разрушают - развивается молниеносная форма болезни с массовым некрозом гепатоцитов. Если синтезированный вирусный белок больше похож на белки организма то реакция иммунной системы умеренная. Вследствие этого может произойти хронизация процесса.

Клинико-морфологические формы вирусного гепатита:
- Острый циклический (желтушный);
- Безжелтушный;
- Некротический (злокачественный, фульминантный, молниеносный)~
- Холестатический;
- Хронический

Классификация

Первые четыре формы - острый гепатит.
Патолоrическая анатомия:
При острой циклической (желтушной) форме вирусного гепатита морфологические изменения зависят от стадии заболе­вания - стадии разгара и выздоровления.
В стадии разгара заболевания (1-2-я неделя желтушного периода) nечень (по данным лапароскоnии) увеличена, плотная и красная, каnсула ее наnря­жена (большая красная печень).
При микроскопическом исследовании (биоптатов печени) отмечают нарушение балочного строения печени и выраженный nолиморфизм гепа­тоцитов (двухъядерные и многоядерные клетки), часто в клетках видны фигуры митоза.
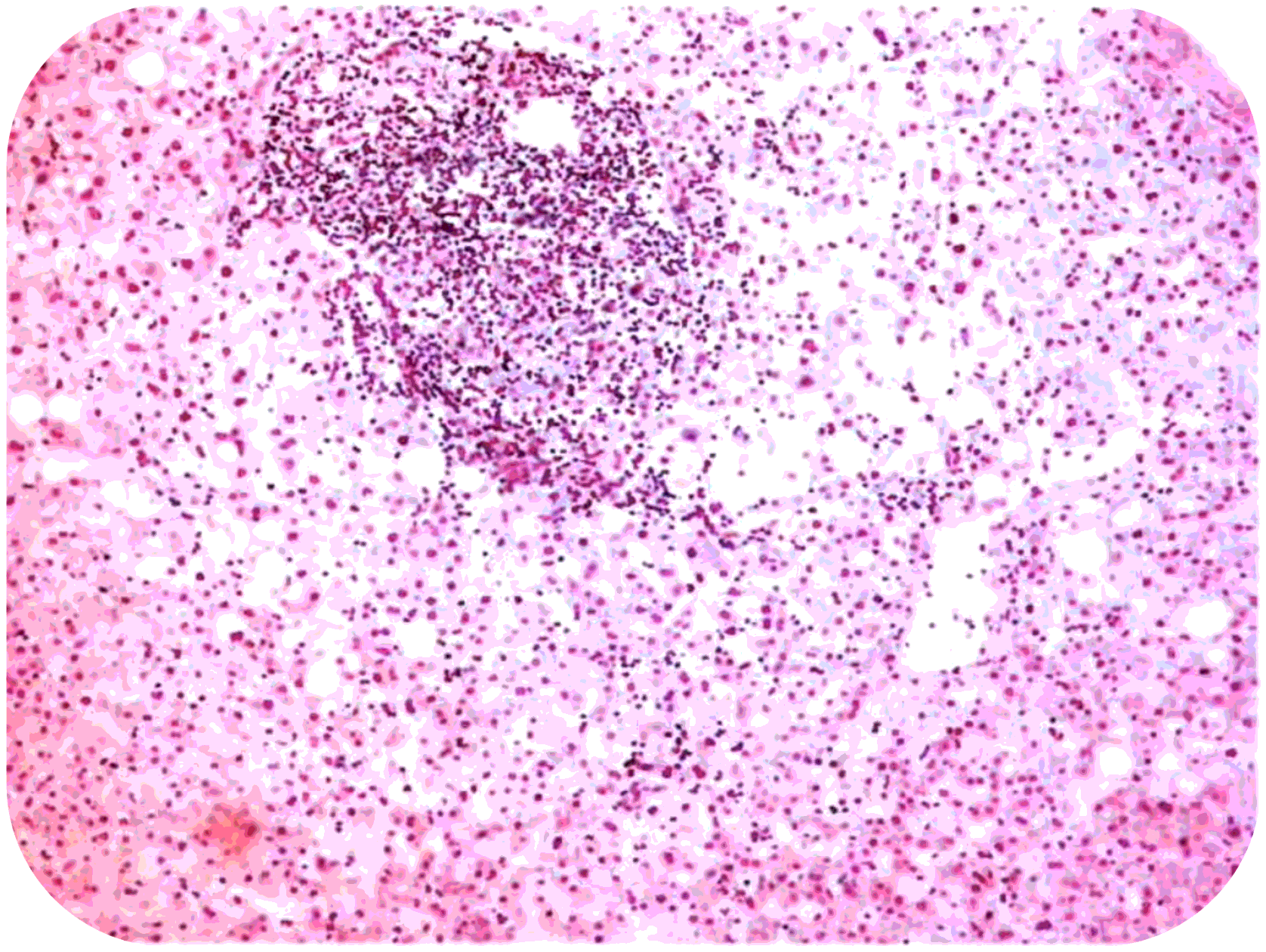
Преобладают гидроnическая и баллонная дистрофия геnа­тоцитов, в различных отделах долек встречаются очаговые (nятнистые) и сливные некрозы геnатоцитов (рис.1), тельца Каунсильмена в виде округлых гомогенных эозинофильных образований с nикнотичным ядром или без ядра- гепатоциты в состоянии коагуляционного некроза с резко уменьшенными органеллами, или «мумифицированные» гепатоциты.

Cливные некрозы геnатоцитов

Рис 1. Острый вирусный геnатит (биоnсия nечени).
Баллонная дистрофия и некроз геnатоцитов

Портальная и внутридольковая стромы диффузно инфильтрированы лимфоцитами и макрофагами с примесью плазматических клеток, эозино- и -нейтрофильных лейкоцитов. Количество звездчатых ретикулоэндоте­лиоцитов значительно увеличено.
Клетки инфильтрата выходят из порталь­ной стромы в паренхиму дольки и разрушаются гепатоциты пограничной пластинки, что ведет к появлению ступенчатых перипортальных некрозов. В различных отделах долек много переполненных желчью капилляров.

Разрушение мембран гепатоцитов при остром вирусном гепатите ведет к ферментативному взрыву, повышению в сыворотке крови активности аминотрансфераз- маркеров клеточного цитолиза.


В стадии выздоровления (4-5-я неделя заболевания) печень приобретает нормальные размеры, гиперемия уменьшена; капсула несколько утолще­на, тусклая, между капсулой и брюшиной встречаются небольшие спайки.

При микроскопическом исследовании находят восстановление балочно­ го строения долек, уменьшение степени некроза и дистрофии. Регенерация гепатоцитов выраженная, много двухъядерных клеток во всех отделах долек. Лимфомакрофагальный инфильтрат в портальных трактах и внутри долек становится очаговым. На месте сливных некрозов гепатоцитов находят более грубую ретикулярную строму и разрастание коллагеновых волокон. Пучки коллагеновых волокон обнаруживают и в перисинусоидальных пространствах.

При острой циклической форме гепатита частиц вируса и антигены обыч­но не находят в ткани печени. Лишь при затянувшемся течении гепатита в единичных гепатоцитах и макрофагах иногда обнаруживают HBsAg.

При безжелтушной форме гепатита изменения печени по сравнению с острой циклической формой выражены меньше, хотя при лапароско­пии находят большую красную печень, возможно поражение лишь одной доли.

Микроскопическая картина иная: баллонную дистрофию гепатоци­тов, очаги их некроза, тельца Каунсильмена встречаются редко; значитель­но выражена пролиферация звездчатых ретикулоэндотелиоцитов; воспа­лительные лимфомакрофагальный и нейтрофильньiй инфильтраты хотя и захватывают все отделы долек и портальные тракты, но не разрушают пограничную пластинку; холестаз отсутствует.

Для некротической (злокачественной, фульминантной или молниеносной) формы вирусного гепатита характерен прогрессирующий некроз паренхи­мы печени. Печень быстро уменьшается, капсула ее морщинистая, ткань серо-коричневого или желтого цвета.

При микроскопическом исследовании находят мостовидные или массивные некрозы печени. Среди некротиче­ских масс встречаются тельца Каунсильмена, скопления звездчатых ретику лоэндотелиоцитов, лимфоцитов, макрофагов, нейтрофилов. Выражен стаз желчи в капиллярах. Гепатоциты находят лишь в сохранившейся паренхиме на периферии долек, они в состоянии гидролической или баллонной дис­трофии. В участках, где некротические массы резорбированы и обнажена ретикулярная строма, просветы синусоидов расширены, полнокровны, там же видны многочисленные кровоизлияния.
Если больной не погибает в острый период от печеночной комы, форми­руется постнекротический крупноузловой цирроз печени.

Холестатическая форма гепатита развивается преимущественно у лиц пожилого возраста. В основе ее лежат внутрипеченочный холестаз и вос­паление желчных протоков. При лапароскопии находят изменения, подобные большой красной печени, но печень с очагами желто- зеленого цвета и подчеркнутым дольковым рисунком

При микроскопическом исследовании преобладают явления холестаза: желчные капилляры и желчные про­токи портальных трактов перелолиены желчью, желчный лигмент нака­пливается в гепатоцитах и в звездчатых ретикулоэндотелиоцитах. Холестаз сочетается с воспалением желчных протоков - холангитом, холангиолитом. Гепатоциты центральных отделов долек в состоянии гидролической или баллонной дистрофии, встречаются тельца Каунсильмена. Портальные тракты расширены, инфильтрированы преимущественно лимфоцитами, макрофагами, нейтрофилами.

Хронический вирусный гепатит - это активный или персистирующий гепатит, возможен и лобулярный гепатит.

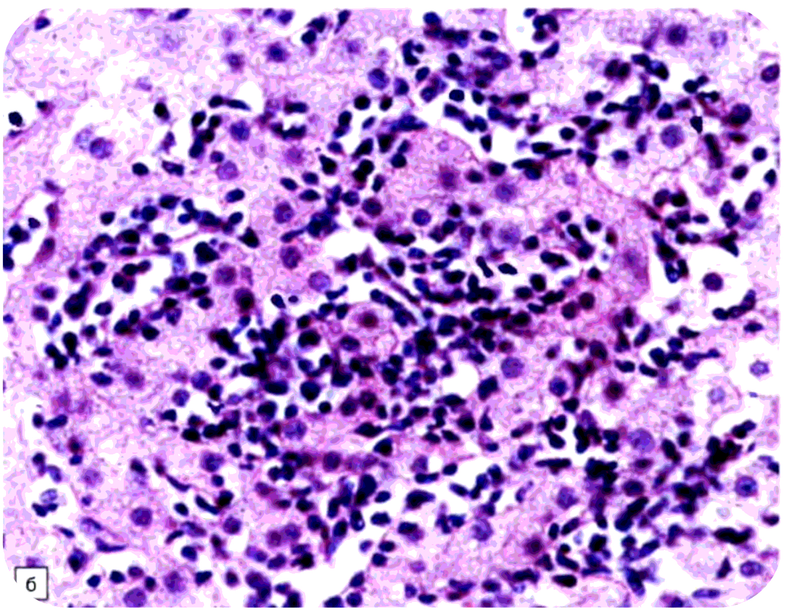
Для активного хронического гепатита характерна клеточная инфильтра­ция портальной, перипортальной и внутридолькавой склерозираванной стромы печени. Особенно характерно проникновение инфильтрата из лим­фоцитов, макрофагов, плазматических клеток через пограничную пластин­ку в печеночную дольку, что ведет к повреждению гепатоцитов (рис. 2). Развиваются дистрофия (гидропическая, баллонная) и некроз гепатоцитов (деструктивный гепатит), осуществляемый эффекторными клетками иммунной системы (иммунный цитолиз). Некрозы могут быть ступенча­тыми, моставидными и субмассивными (мультилобулярными). Степень распространенности некроза - критерий степени активности (тяжести) заболевания. Деструкция гепатоцитов сочетается с очаговой или диффузной пролиферацией звездчатых ретикулоэндотелиоцитов и клеток холангиол. При этом регенерация паренхимы печени несовершенна, развиваются скле­роз и перестройка ткани печени.

В гепатоцитах при электронно-микроскопическом (рис.2), имму­ногистохимическом и светооптическом (окраска орсеином) исследовани­ях выявляют маркеры вируса гепатита В- HBsAg и HBcAg. Гепатоциты, содержащие HBsAg, напоминает матовое стекло (матово- стекловидные гепатоциты); ядра гепатоцитов, содержащих HBcAg, выглядит посыпанным песком - <<песочные>> ядра. Эти гистологические признаки - этиоло­гические маркеры гепатита B. При активном хроническом гепатите нахо­дят очаговую экспрессию HBcAg. Активный хронический гепатит, как пра­вило, прогрессирует в постнекротический крупноузловой
цирроз печени.

Рис 2. Хронический вирусный гепатит В (биопсия печени): а-активный гепа­тит; клеточная инфильтрация портальной и внутрипольковой склерозированной стромы печени; деструкция гепатоцитов пограничной пластинки; б-персисти­рующий геnатит; клеточная инфильтрация склерозированных портальных полей; пограничная пластинка сохранена; дистрофия гепатоцитов

Хронический персистирующий гепатит (см. рис. 2) характеризуется инфильтрацией лимфоцитами,
гистиоцитами и плазматическими клетками склерозираванных портальных полей. Редко очаговые гистиолимфоцитар­ные скопления встречаются внутри долек, где отмечают гиперплазию звезд­чатых ретикулоэндотелиоцитов и очаги склероза ретикулярной стромы. Пограничная пластинка, как и структура печеночных долек, как правило, сохранена.
Дистрофия гепатоцитов выражена минимально или умеренно (гидропическая дистрофия), некроз
гепатоцитов встречается редко. В пече­ни выявляют маркеры антигенов вируса гепатита В: матово- стекловидные гепатоциты, содержащие HBsAg, реже - <<Песочные>> ядра с HBcAg, тельца Каунсильмена.
При хроническом персистирующем гепатите возможна не только очаговая, но и генерализованная экспрессия HBcAg.

Хронический персистирующий гепатит очень редко прогрессирует в цирроз печени и только в тех случаях, когда трансформируется в актив­ный гепатит.

Смерть при вирусном гепатите наступает от острой (некротическая форма) или хронической (активный хронический гепатит с исходом в цир­роз) печеночной недостаточности. Иногда развивается гепаторенальный синдром.